
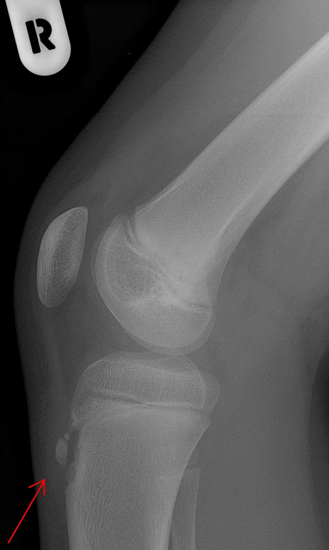
オスグッド(オスグッド・シュラッター症候群)とは成長痛の1つで、よく運動をしている発育期のスポーツ少年に起こりやすいのが特徴です。
主な症状としては以下のようなものが挙げられます
・スポーツ中に激痛を伴う (走る、ボールを蹴る、ジャンプをする等)
・膝の下がぽっこり腫れ上がる
・しゃがめない、しゃがむと痛い
・正座ができない
これらの症状は一時的に痛みがおさまっても、スポーツを始めると痛みが再発します。


こんな悩みを抱えていませんか?
・整形外科・整骨院に通院してるが痛みが取れない
・サポーターやテーピングで誤魔化している
・痛みで思うようなプレーができない
・練習すると痛みがぶり返す
・成長痛だからと諦めて部活を休んでいる
大阪市都島区にある田中鍼灸治療院では、他院とは圧倒的な違いがあります。
・ストレッチ・マッサージ・電気治療ではオスグッドは治りません!
・成長痛だからといってスポーツを休む必要はありません。
・1~3回程度での通院終了が多数。4回目以降~は稀です。
玄武堂田中鍼灸整骨院では、スポーツを頑張っている子供たちを応援します!